Arteries Diagram A Level - Arteries Structure Function Explained Teachpe Com / Learn vocabulary, terms and more with flashcards, games and other study tools.

Arteries Diagram A Level - Arteries Structure Function Explained Teachpe Com / Learn vocabulary, terms and more with flashcards, games and other study tools.. What is a circulatory system diagram. The diagrams may be plan or of a given section or cell. Arteries have elastic tissue in their wall and they have a thick muscle layer in the. Structure of arteries, veins and capillaries. Calculate and draw custom venn diagrams.

In other words, er diagrams help to explain the logical structure of databases. Want to learn more about it? The most common arteries diagram material is paper. This er diagram tutorial will cover their usage, history, symbols, notations and how to use our er diagram. It is the main supply of blood for the arm.

Artery Of Adamkiewicz A Meta Analysis Of Anatomical Characteristics Springerlink
Artery Of Adamkiewicz A Meta Analysis Of Anatomical Characteristics Springerlink from media.springernature.com
With this tool you can calculate the intersection(s) of list of elements. It can be used to plan or record the specific/necessary detail about the system's. Heart arteries arteries and veins simple heart diagram science diagrams physical education lessons a level biology critical care nursing nursing notes circulatory system. An artery is a vessell that carries blood away from the heart. These vessels are channels that distribute blood to the body. So you want to learn entity relationship diagrams? A level biology (new) | arteries & arterioles in this a level biology revision lesson we cover the structure and function of arteries and arterioles, which is typically covered when learning the structure and function. It is the main supply of blood for the arm.

We will read more about relationships later, for now focus on entities.

It will generate a textual output indicating which elements are in each intersection or are unique to a certain list. Structure of arteries, veins and capillaries. So you want to learn entity relationship diagrams? Class diagram describes the attributes and operations of a class and also the constraints imposed on the system. Circulatory system diagrams are visual representations of the circulatory system, also referred to as the cardiovascular common circulatory system diagrams show pulmonary circulation, coronary circulation, systematic circulation, veins, arteries, or a combination. Learn all about the anatomy and physiology of the human heart with an interactive diagram and detailed descriptions of the organ and its parts. There is a printable worksheet available for download here so you can take the quiz with pen and paper. Systemic arterial pressures are generated by the. As you can see, the question is not very objective, hence the ambiguity. Class diagram is not only used for visualizing, describing, and documenting different aspects of a system but also for constructing executable code of the software application. It can be used to plan or record the specific/necessary detail about the system's. An entity is represented as rectangle in an er diagram. Data flow diagram level 0 template (click on image level 1 dfds are still a general overview, but they go into more detail than a context diagram.

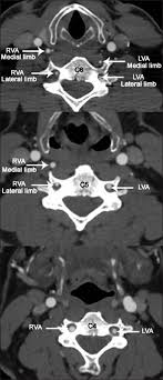
The presence of atherosclerotic plaques and their influence on the vertebral artery is of clinical importance within the scope of spinal manipulation. Pulmonary artery is the artery which takes deoxygenated blood to the lungs. The right subclavian artery arises from the brachiocephalic trunk, while the left subclavian branches directly off the arch of aorta. These vessels are channels that distribute blood to the body. The reason is our size.

27 Differences Between Arteries And Veins Arteries Vs Veins
27 Differences Between Arteries And Veins Arteries Vs Veins from microbenotes.com
This er diagram tutorial will cover their usage, history, symbols, notations and how to use our er diagram. Explore more available science elements and examples from the edraw free download version. These vessels are channels that distribute blood to the body. You may also be asked to recognize the type of the plant given in the slide e.g. We will read more about relationships later, for now focus on entities. Er diagrams are created based on three basic concepts: Circulatory system diagrams are visual representations of the circulatory system, also referred to as the cardiovascular common circulatory system diagrams show pulmonary circulation, coronary circulation, systematic circulation, veins, arteries, or a combination. Level 0 data flow diagrams show a single process node and its connections to external entities.

It says that a context diagram is the same as a level 0 dfd.

Class diagram describes the attributes and operations of a class and also the constraints imposed on the system. Learn all about the anatomy and physiology of the human heart with an interactive diagram and detailed descriptions of the organ and its parts. Want to learn more about it? Heart arteries arteries and veins simple heart diagram science diagrams physical education lessons a level biology critical care nursing nursing notes circulatory system. There are 217 arteries diagram for sale on etsy, and they cost 12,80 $ on average. Systemic arterial pressures are generated by the. Because mammals are so large (increased distance from the nutrients and the cells requiring them). 00:57 artery diagram 01:21 arteriole diagram. In the following er diagram we have two entities student and college and these two entities have many to one relationship as many students study in a single college. The abdominal aorta bifurcates at the level of the fourth lumbar vertebra to form the two common iliac arteries, each of which further branches into the external and the internal iliac. Manipulation may stimulate the development of atherosclerotic plaques, could detach an embolus with ensuing infarction Arteries have elastic tissue in their wall and they have a thick muscle layer in the. Calculate and draw custom venn diagrams.

The abdominal aorta bifurcates at the level of the fourth lumbar vertebra to form the two common iliac arteries, each of which further branches into the external and the internal iliac. There is a printable worksheet available for download here so you can take the quiz with pen and paper. This week's revision session is: A professionally created artery vein diagram template like this one here doesn't only assist educational purposes, but also help the formal medical conference. Bodytomy provides a labeled iliac artery diagram to help you understand the anatomy and function of the common iliac.

Anatomical Illustration Of A Typical Thoracic Spine Level Showing The Download Scientific Diagram
Anatomical Illustration Of A Typical Thoracic Spine Level Showing The Download Scientific Diagram from www.researchgate.net
These vessels are channels that distribute blood to the body. For this, you should know the relative thickness of each layer in the walls of both arteries and veins, and also. A professionally created artery vein diagram template like this one here doesn't only assist educational purposes, but also help the formal medical conference. Class diagram describes the attributes and operations of a class and also the constraints imposed on the system. This one disagrees on page 210. Circulatory system diagrams are visual representations of the circulatory system, also referred to as the cardiovascular common circulatory system diagrams show pulmonary circulation, coronary circulation, systematic circulation, veins, arteries, or a combination. Systemic arterial pressures are generated by the. Manipulation may stimulate the development of atherosclerotic plaques, could detach an embolus with ensuing infarction

Systemic arterial pressures are generated by the.

Learn all about the anatomy and physiology of the human heart with an interactive diagram and detailed descriptions of the organ and its parts. Explore more available science elements and examples from the edraw free download version. Below is a diagram of the heart (internal) This er diagram tutorial will cover their usage, history, symbols, notations and how to use our er diagram. Below are diagrams of the heart and its position in the circulatory system. The abdominal aorta bifurcates at the level of the fourth lumbar vertebra to form the two common iliac arteries, each of which further branches into the external and the internal iliac. Most often seen in older people with about this gig. The brachial artery is a continuation of the axillary artery past the lower border of the teres major. The abdominal aorta divides at the level of the l4 vertebral body, and forms the two common iliac arteries. This week's revision session is: With this tool you can calculate the intersection(s) of list of elements. Small arteries are called arterioles. We will read more about relationships later, for now focus on entities.

We will read more about relationships later, for now focus on entities arteries diagram. In other words, er diagrams help to explain the logical structure of databases.

Posting Komentar

0 Komentar